1. 局灶性增生性肾小球肾炎 局灶性增生性肾小球肾炎(focal proliferative glomerulonephritis)强调了肾小球病变的分布状态,即病变肾小球占全部肾小球的50%以下,多数病例在30%以下。近年来,原发性局灶性肾小球肾炎逐渐减少,而继发性局灶性肾小球肾炎日渐增多,见于系统性红斑狼疮、过敏性紫癜、细菌性心内膜炎等。
病理变化
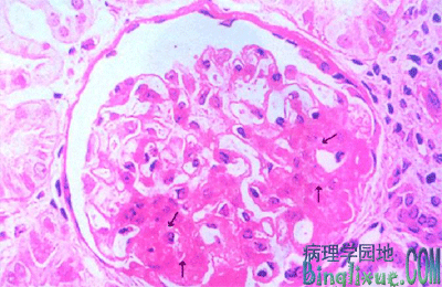
光镜下肾小球表现为局灶性节段性系膜增生,纤维素样坏死,或硬化。增生性病变轻微且可自发消退,极少数情况下形成节段性瘢痕。坏死性病变,初期多为节段性毛细血管纤维素样坏死,血栓形成,并可刺激肾小囊壁上皮细胞增生,形成新月体,最后导致节段性瘢痕形成和肾小囊粘连,而肾小球其他部分结构保存良好。这种硬化性病变为非进行性,通常不影响肾功能。
免疫荧光 IgG和补体C3在肾小球系膜沉积,纤维素样坏死区有纤维素沉积。
电镜下系膜细胞和基质增多,部分可见系膜区有电子致密沉积物。
临床表现
临床表现较轻,主要为肉眼或镜下血尿并可见红细胞管型,蛋白尿通常较轻。表现为隐匿性肾炎或血尿。

2. 局灶性节段性肾小球硬化 局灶性节段性肾小球硬化症(focal segmental glomerulo-sclerosis)以部分肾小球发生节段性硬化为特征,是局灶性肾小球肾炎的特殊类型。
病理变化
光镜下部分肾小球,特别是位于皮髓质交界处的肾小球呈节段性玻璃样硬化,即PAS阳性物质沉积。有时可见硬化区周围上皮细胞增生并与肾小囊粘连。
免疫荧光 肾小球硬化区可见IgM和C3沉积。
电镜下肾小球基底膜厚薄不均,上皮细胞足突融合。系膜基质增多,伴电子致密物沉积。
临床表现
表现为肾病综合征,伴血尿和高血压,对糖皮质激素治疗不敏感。病变为进行性,约半数在5年内发展至肾功能衰竭。