病理学园地
您的位置:首页 > 图库 > 内分泌系统疾病

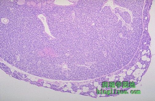
甲状旁腺腺瘤(低倍镜一)


甲状旁腺腺瘤是引起原发性甲状旁腺功能亢进最常见的原因。可见混有脂肪细胞的正常甲状旁腺组织的边缘被推向右边及腺瘤下缘。

甲状旁腺腺瘤: 

Here is a parathyroid adenoma, which is the most common cause for primary hyperparathyroidism. A rim of normal parathyroid tissue admixed with adipose tissue cells is seen compressed to the right and lower edge of the adenoma.


纠错留言 | 网站导航 | 站内搜索 | 关于我们 | 联系站长
Copyright©2006-2025 病理学园地*Pathology Information Web