病理学园地
您的位置:首页 > 图库 > 内分泌系统疾病

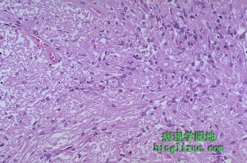
神经垂体(镜下)


神经垂体类似神经组织,有神经胶质细胞、神经纤维、神经末梢及轴突内的神经内分泌颗粒。下丘脑(视上核和室旁核)形成的血管加压素(抗利尿激素,ADH)和催产素以神经内分泌颗粒的形式经轴突运送至神经垂体得以释放。

正常垂体:大体 显微镜 腺垂体 神经垂体

The neurohypophysis shown here resembles neural tissue, with glial cells, nerve fibers, nerve endings, and intra-axonal neurosecretory granules. The hormones vasopressin (antidiuretic hormone, or ADH) and oxytocin made in the hypothalamus (supraoptic and paraventricular nuclei) are transported into the intra-axonal neurosecretory granules where they are released.


纠错留言 | 网站导航 | 站内搜索 | 关于我们 | 联系站长
Copyright©2006-2025 病理学园地*Pathology Information Web