理论资料
实验技术
病理图库
教学动画
教学课件
病例分析
习题
教育技术
在线测试
执业医师考试
医学考研试题
精品教材
精品课程
您的位置:
首页
>
图库
>
细胞学涂片
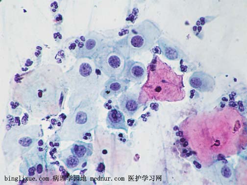
炎症反应性细胞改变(传统涂片)
炎症反应性细胞改变(传统涂片)
:
显示鳞状细胞核增大,核轻度深染,染色质细颗粒状分布均匀。核形整齐光滑、圆形及大小较一致。可见空泡和核周空晕,其周围胞浆不增厚。
第
(1)
(2)
(3)
页
纠错留言
|
网站导航
|
站内搜索
|
关于我们
|
联系站长
Copyright©2006-2025 病理学园地*Pathology Information Web