一、心电图纸

二、正常心电图波形特点

P波:代表左右两心房除极的电位变化。大部分导联呈钝圆形;导联I、II、aVF、V4-6
直立,aVR倒置;其余导联双向;时间:<0.12秒;振幅:肢导<0.25mV;胸导<0.2mV。
P-R间期:从P波起点至QRS波群的起点,代表心房开始除极至心室开始除极的时间。时间:0.12-0.20秒。
QRS波群为心室除极波。时间:0.06-0.10秒;波形:(1)在没有电轴偏移的情况下,I、II、III导联的QRS波群其主波一般向上;aVR导联的QRS波群主波向下;(2)正常人胸导R波自V1 - V6 导联逐渐增高;S波逐渐变小;(3)V1、V2、V3出现Q波应视为异常,V5、V6看不到Q波应视为异常;振幅:I 导联的R波小于1.5mV,aVF导联的R波小于2.0mV,胸导的R波小于2.5mV。
ST段:自QRS波群的终点至T波起点间的线段,代表心室缓慢复极过程。正常多为一等电位线,一般下移不应>0.05mV;上抬在肢体导联及V4-V6导联不应>0.1mV 。
T波:代表心室快速复极时的电位变化。方向:大多和QRS主波的方向一致,左心导联I、II、V4 - V6导联向上;aVR导联向下;振幅:左心导联I、II、V4 - V6导联不应低于同导联R波的1/10。
三、临床常见异常心电图
(一)左心室肥大
1.QRS波群电压增高:胸导联V5或V6导联的R波>2.5mV;Sv1+Rv5>4.0mV(男性)、>3.5mV(女性);肢体导联中,Ⅰ导联的R波>1.5mV;aVL导联的R波>1.2mV;aVF导联的R波>2.0mV;RI+SIII>2.5mV。
2.可出现心电轴左偏。
3.QRS波群时间延长到0.10~0.11s,但一般<0.12s。

4.ST-T改变:在R波为主的导联,其ST段可呈下斜型压低达0.05mV以上,T波低平、双向或倒置;当QRS波群电压增高同时伴有ST-T改变者,称左室肥大伴劳损。

(二)右心室肥大
1.QRS波群电压的改变:V1导联 R/S ≥ 1;V5导联R/S ≤1;重度肥厚, V1呈qR型;RV1+SV5 >1.05mV(重症>1.2mV);RaVR>0.5mv
2.心电轴右偏≥90°(重症可>+110°)。
3.ST-T改变:如以上心电图改变同时伴有右胸导联(V1、V2)的T波双相、倒置,ST段压低,称右室肥大伴劳损。

(三)右心房扩大
1.P波尖而高耸,其振幅≥0.25mV,以Ⅱ、Ⅲ、aVF导联表现最为突出。
2.V1导联P波直立时,振幅≥0.15mV,如P波呈双向时,其振幅的算术和≥0.20mV。

(四)室性期前收缩(常见)
1.期前出现的宽大畸形的QRS波,时限通常>0.12秒,T波方向多与QRS波主波方向相反。
2.期前出现的QRS-T波前无P波或无相关的P波。
3.往往为完全性代偿间歇,即期前收缩前后的两个窦性P波间距等于正常P-P间距的两倍。


(五)房性期前收缩
1.期前出现的异位Pˊ波,形态与窦性P波有所不同。
2.Pˊ-R间期通常>0.12s,QRS-T形态与窦性下传者基本相同。
3.大多为不完全性代偿间歇,即期前收缩前后两个窦性P波的间距<正常P-P间距的两倍。

(六)心房颤动
1.正常P波消失,代以大小不等、形态各异的颤动波(f波),通常以V1导联为最明显。
2.R–R间期绝对不规则,QRS波一般不增宽。

(七)急性心肌梗死
1.基本图形:发生心肌梗塞后,心电图上可先后出现缺血,损伤和坏死三种类型的图形。当一个区域发生梗塞时,从中心到边缘缺血的程度是不同,可在不同部位同时出现下述三种图形改变:缺血型改变、损伤型改变、坏死型改变(面向坏死区的导联出现异常Q波或者呈QS波)。

2.急性心肌梗死心电图的动态性改变:
早期(超急期):自心肌梗死后数分钟开始持续数小时,先产生高大的T波,以后迅速出现ST段斜型抬高,与高耸直立的T波相连。
急性期:开始于心肌梗死后数小时或数日,可持续数周,是一个演变的过程。坏死型的Q波,损伤型的ST段抬高(弓背向上抬高,抬高显著者,可形成单向曲线)和缺血型的T波倒置,并可同时存在。
近期(亚急性期):梗死后数周至数月,以坏死和缺血图形为主要特征即:抬高的ST段基本恢复至基线;坏死型Q波持续存在;缺血型T波由倒置较深逐渐变浅。
陈旧期(愈合期):出现在急性心肌梗死后3~6个月之后或更久。ST段和T波恢复正常或T波持续倒置、低平,趋于恒定不变;残留下坏死的Q波。

3.急性心肌梗死的定位诊断
主要根据坏死的图形(Q波或QS波)出现的导联做定位诊断
前间壁 V1 - 3
下壁 II、III、aVF
前壁 V3 、V4(V5)
广泛前壁 V1 - 4(5)
高侧壁 I、aVL、V5、V6
后壁 V7 – 9

一、正常心脏大血管X线表现

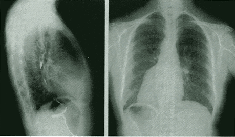
二、心包积液
1.后前位可见心缘正常弧段消失,心影向两侧扩大,呈“普大”型或球形。
2.多数病例肺血管纹理正常,部分病例可伴有不同程度的上腔静脉扩张。
3.心缘搏动减弱或消失,而心包外的主动脉搏动正常。(透视)

三、左心室增大
1.心尖向下向左延伸。
2.心腰凹陷。
3.主动脉结突出。
4.心影呈靴形。

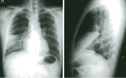
四、风湿性二尖瓣狭窄(左心房增大、右心室增大)
1.左心房增大
(1)心左缘可见左心耳形成的第三弓影(心腰弧形突出)。
(2)左侧位服钡剂示,食管中段受压向后移位。
2.右心室增大
(1)心右缘圆隆。
(2)左心缘下段圆钝。
3.心影呈梨形。

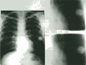
五、大叶性肺炎
1.密度均匀的致密影。
2.炎症累及肺段表现为片状或三角形致密影。
3.炎症累及整个肺叶,则呈以叶间裂为界的大片致密阴影。

六、肺结核
1.原发性肺结核(含原发综合征及胸内淋巴结结核)
(1)原发病灶、淋巴管炎及淋巴结炎组成典型的原发综合征。
(2)斑片状或大片实变影(中上肺野云絮状阴影,边缘模糊)。
(3)肺门、纵隔淋巴结肿大。
(4)不规则条索影(病变与肺门之间)。

2.血行播散型肺结核(X线表现为三均特点)
(1)肺野均匀分布。
(2)1.5~2mm大小。
(3)密度相同的粟粒状病灶。

3.继发性肺结核
(1)浸润型肺结核
1)好发于上叶尖后段、下叶背段。
2)斑片状实变影,似云絮。

(2)结核球
1)边界清晰的类圆形结节,密度较高。
2)结节内常有钙化、裂隙样或新月样空洞。
3)结节周围可见卫星灶。

(3)干酪样肺炎
1)大片实变影,边缘模糊。
2)实变影密度不均匀,其内可有空洞。

一、定义
利用心电图机从体表记录心脏每一心动周期所产生电变化的曲线图形。

二、心电图产生原理
(一)除极

1.极化状态:心肌细胞在静息状态时,膜外排列阳离子带正电荷,膜内排列同等比例阴离子带负电荷,称之。此时不产生电位变化。
2.除极化:当细胞膜的一端受到刺激,使细胞内外正、负离子的分布发生逆转。
3.电偶、电源(正电荷)、电穴(负电荷)。
4.除极状态:心肌细胞膜内带正电荷,膜外带负电荷。

(二)复极:细胞膜又逐渐复原到极化状态的过程。

复极过程与除极过程方向相同,但电偶是电穴在前,电源在后,因此记录的复极波方向与除极波方向相反。
(三)影响心脏电位强度的因素
1.心肌细胞的数量。
2.电极的位置。
3.电极的方位与心肌除极方向所构成的角度,夹角愈大,心电位在导联上的投影愈小,电位愈弱。

(四)心电综合向量
心脏的电激动过程中产生许多向量(即具有强度,又具有方向性的电位幅度),某一瞬间许许多多大小、方向不同的向量按照:同一轴的两个心电向量的方向相同者,其幅度相加;方向相反者则相减和平行四边形法则综合起来形成的瞬时心电向量叫做心电综合向量。

三、心电图各波段的组成和命名
(一)心脏的传导系统:窦房结、结间束、房间束、房室结、希氏束、左右束支、蒲氏纤维。

(二)心电活动的传导顺序
窦房结(正常心电活动的起始点)→结间束→房室结(延迟0.05—0.07秒)→希氏束→左右束支→蒲氏纤维。
(三)心电图各波段的命名
P波:反映心房的除极过程.
P-R段:反映心房复极过程及房室结、希氏束、左右束支的电活动。
P-R间期:始自心房开始除极至心室开始除极。
QRS波群:反映心室除极的全过程。
P波后第1个向上的波为R波;R波前的负向波为Q波;R波后的负向波为S波。
S波后再出现向上的波为R′波。
整个波形均向下为QS波。

ST段:心室的缓慢复极过程。
T波:心室快速复极过程。

四、心电图导联体系
(一)心电图导联:在人体不同部位放置电极,并通过导联线与心电图机电流计的正负极相连,而记录心电图的电路连接方法。

1.标准导联:为双极肢体导联,反映其中两个肢体之间电位差变化。

2.加压单极肢体导联:属于单极导联,基本上代表检测部位电位变化。

3.胸导联:属于单极导联,检测之正电极安放于胸壁规定的部位,另将肢体导联3个电极分别通过5K电阻与负极连接构成中心电端,(电位接近零电位且较稳定)。

(二)心电图检测电极安放位置
1.肢体导联:
RA:右上肢(红)
LA:左上肢(黄)
LL:左下肢(绿)
RL:右下肢(黑)
2.胸导联:
V1:胸骨右缘4肋间
V2:胸骨左缘4肋间
V3:V2与V4两点连线的中点
V4:左锁骨中线与第5肋间相交处
V5:左腋前线V4水平处
V6:左腋中线V4水平处

五、心电图主要测量内容
(一)心率的测量:心率 = 60÷R–R(或 P–P)间期的秒数。

(二)心电轴的测定:左右心室除极过程的总方向。
1.目测法:目测 I、III导联的QRS波群的主波方向。

2.临床意义:
(1)正常心电轴的范围:-30°—+90°之间;电轴位于-30°— -90°范围为心电轴左偏;位于°+90°—+180°范围为心电轴右偏。
(2)心电轴左偏:见于左心室肥大、左前分支阻滞等。
(3)心电轴右偏:见于右心室肥大、左后分支阻滞等。


3.心电轴角度划分原理
(1)在每一个标准导联正负极均画出一条假想的直线,成为导联轴。
(2)将I、II、III导联的导联轴平行移动,使之与aVR、aVL、aVF的导联轴一并通过坐标图的轴中心点,构成额面六轴系统。
(3)此系统采用±180°的角度标志,以左侧为0°,顺钟向的角度为正,逆钟向者为负。
(4)每个导联轴从中心点被分为正负两半,每个相邻导联间的夹角为30°。
六、正常心电图波形特点和正常值
(一)P波:代表左右两心房除极的电位变化。
1.形态:大部分导联呈钝圆形;导联I、II、aVF、V4-6直立,aVR倒置;其余导联双向。
2.时间:<0.12秒。
3.振幅:肢导<0.25mV;胸导<0.2mV。
(二)P-R间期:从P波起点至QRS波群的起点,代表心房开始除极至心室开始除极的时间。时间:0.12-0.20秒。
(三)QRS波群:为心室除极的电位变化。
1.时间:0.06-0.10秒。
2.波形:
(1)在没有电轴偏移的情况下,I、II、III导联的QRS波群其主波一般向上;aVR导联的QRS波群主波向下。
(2)正常人胸导R波自V1 - V6 导联逐渐增高;S波逐渐变小。
(3)V1、V2、V3出现Q波应视为异常,V5、V6看不到Q波应视为异常。
3.振幅:
(1)V5、V6 导联R波一般不超过2.5 mV。
(2)aVR导联的R波一般小于0.5mV;aVF导联的R波小于2.0mV。
(3)6个肢体导联的QRS波群振幅(正向波与负向波振幅的绝对值相加)一般不应都小于0.5mV;6个胸导联的QRS波群振幅一般不应都小于0.8mV,否则称为低电压。
(四)ST段:自QRS波群的终点至T波起点间的线段,代表心室缓慢复极过程。正常多为一等电位线,一般下移不应超过0.05mV;上抬在肢体导联及V4-V6导联不超过 0.1mV。
(五)T波:代表心室快速复极时的电位变化。
1.方向:大多和QRS主波的方向一致,左心导联I、II、V4 - V6导联向上;aVR导联向下。
2.振幅:左心导联I、II、 V4 - V6导联不应低于同导联R波的1/10。

七、心电图分析步骤:
(一)心律是否规整、心率是否在正常范围。
(二)目测心电轴有无偏移。
(三)P波的规律性、形态及振幅。
(四)P-R间期:时间是否缩短或延长。
(五)QRS波群:时间是否超过0.10秒;形态及振幅R波在胸导联是否超过2.5mV;肢体导联是否超过2.0mV。
(六)ST段:位置有否上抬或下移。
(七)T波:方向是否与主波方向一致;振幅大于同导联R波的1/10。
试题分析
1.男性,42岁,运动时胸闷1周。体检:胸骨左缘第3—4肋间可闻及粗糙的喷射性收缩期杂音。心电图示II、III、aVF导联出现病理性Q波。超声心动图示室间隔流出道部分向左心室内突出,二尖瓣前叶在收缩期向前方运动。该患者最可能的诊断是( )
A.室间隔缺损
B.风湿性主动脉瓣狭窄
C.肥厚型心肌病
D.急性心肌梗死
E.劳力型心绞痛
正确答案:C
2.男性,32岁,劳累后心悸、气促、下肢水肿6个月。查体:心界向两侧扩大,心尖区闻及2/6级收缩期杂音,两肺底有小水泡音,超声心动图示左室腔增大,心电图提示完全性左束支阻滞。该患者应诊断为( )
A.心包炎
B.扩张型心肌病
C.急性病毒性心肌炎
D.二尖瓣狭窄
E.肺心病
正确答案:B
A3型题:病例组型最佳选择题(3—7题)
3.患者,女性,65岁,因阵发性胸闷8年,持续胸痛8小时收入院。入院时血压为150/90mmHg,诊断急性前壁心肌梗死,支持诊断的心电图改变为( )
A.Ⅱ、Ⅲ、aVF出现异常Q波,伴ST段弓背向上抬高
B.V1—V4出现异常Q波伴ST段弓背向上抬高
C.Ⅰ、aVL出现肺性P波
D.频发室性早搏
E.三度房室传导阻滞
正确答案:B
4.此时最具特征性的实验室改变是( )
A.血清LDH上升
B.血清GOT上升
C.血清GPT上升
D.血清CK-MB上升
E.血清肌红蛋白下降
正确答案:D
5.上述患者出现频发室性早搏,伴短阵室性心动过速,此时最恰当的处理应是( )
A.静推西地兰
B.口服美西律
C.静脉注射利多卡因
D.口服普鲁卡因胺
E.口服妥卡尼
正确答案:C
6.住院第2日患者出现胸闷、大汗、面色苍白,体检心率126次/分,律齐,双肺未闻及干湿性啰音,血压90/60mmHg,考虑合并心源性休克。此时不宜用( )
A.主动脉内气囊反搏术
B.静注速尿
C.静滴多巴胺
D.静滴多巴酚丁胺
E.皮下注射低分子肝素
正确答案:B
7.起病4周后,病人反复低热,左肺底有湿性啰音,心前区闻及心包摩擦音,此时应考虑并发( )
A.肺结核
B.尿毒症
C.感染性心内膜炎
D.心肌梗死后综合征
E.肺栓塞
正确答案:D
12.男性,58岁,6个月前急性心肌梗死,心电图V1-V5导联ST段持续抬高3mm,近3个月偶于快跑时出现胸闷,持续1小时。体检:心界向左侧扩大,心尖搏动弥散。该患者最可能的诊断是( )
A.急性心包炎
B.心室壁瘤
C.变异型心绞痛
D.梗死后心绞痛
E.急性心肌梗死
正确答案:B
13.男性,60岁,心前区阵发性疼痛1个月,多在夜间发作,与活动无关,每次发作15分钟,发作时心电图Ⅱ、Ⅲ、aVF导联ST段抬高。首选治疗的药物是( )
A.硝酸酯类
B.β受体阻滞剂
C.钙离子拮抗剂
D.洋地黄类
E.乙胺碘呋酮
正确答案:C
14.患者,男性,49岁,因劳累后胸痛3年收住院。入院后根据其发作时的心电图诊断为“心绞痛”。其发作时最可能的心电图表现是( )
A.T波高大
B.左心室肥大劳损
C.窦性心动过速
D.ST段下移,T波低平、双向、倒置
E.ST段呈短暂的抬高,形成单向曲线
正确答案:D
15.男,63岁,既往有高血压、冠心病及胃溃疡,1天前突然剧烈上腹刺痛、濒死感伴发热。白细胞增多,心电图Ⅱ、Ⅲ、aVF ST段抬高,有病理性Q波,诊断为( )
A.心绞痛
B.急性心包炎
C.急性肺动脉栓赛
D.急性心肌梗死
E.急腹症
正确答案:D
A3型题(16—18题)
男性,44岁。因胸骨后剧痛5小时来院急诊。诊断为超急期心肌梗死入院。即做冠状动脉造影,显示左冠状动脉前降支中段阻塞。入院10小时突然死亡。
16.本例超急性期心肌梗死心电图表现应是( )
A.病理性Q波
B.ST段弓背样抬高
C.ST段水平样压低
D.T波高耸
E.多源性室性心动过速
正确答案:D
17.本例死亡的最可能原因是( )
A.泵衰竭
B.栓塞
C.心脏破裂
D.心律失常
E.乳头肌断裂
正确答案:D
18.产生猝死的最可能的原因是( )
A.室性心动过速
B.心源性休克
C.脑梗死
D.房室传导阻滞
E.心室颤动
正确答案:E
A3型题(19—21题)
男性,65岁。突发心前区疼痛10小时,心电图示V1-V5导联有病理性Q波,ST段弓背向上抬高,T波倒置。入院查体:BP150/90mmHg,心率80次/分,律齐。
19.最可能的诊断是急性( )
A.广泛前壁心肌梗死
B.下壁心肌梗死
C.后壁心肌梗死
D.前间壁心肌梗死
E.高侧壁心肌梗死
正确答案:A
20.入院后心电图提示频发室性期前收缩,最有效的治疗措施是( )
A.直流电复律
B.按压颈动脉窦
C.静脉滴注阿托品
D.静脉滴注利多卡因
E.安置临时性心脏起搏器
正确答案:D
21.入院第二天心尖部出现收缩中期喀喇音和收缩晚期杂音,约3小时后上述心脏附加音和杂音消失,提示其可能出现了心脏( )
A.乳头肌功能失调
B.乳头肌断裂
C.左室游离壁破裂
D.室间隔穿孔
E.心室膨胀瘤
正确答案:A
22.心脏听诊,听到“大炮音”应考虑( )
A.二尖瓣狭窄
B.P-R间期缩短
C.运动或发热
D.完全性房室传导阻滞
E.甲状腺功能亢进
正确答案:D
23.二度Ⅰ型房室传导阻滞的心电图特征是( )
A.P-R间期进行性缩短,直至一个P波受阻不能下传到心室
B.相邻R-R间距进行性延长,直至一个P波受阻不能下传到心室
C.P-R间期进行性延长,直至一个P波受阻不能下传到心室
D.P-R间期>0.20秒,P波无受阻
E.P-R间期固定,P波间断受阻不能下传到心室
正确答案:C
24.最有助于确诊室性心动过速的心电图表现是( )
A.P波与QRS波群无固定关系
B.QRS波群形态畸形
C.R-R间期绝对不等
D.T波倒置
E.心室夺获
正确答案:E
B1型题:标准配伍题(25、26题共用备选答案)
A.P波呈双峰
B.P-R间期逐渐延长
C.P波消失,代之以f波
D.P波与QRS波群完全无关系
E.P波为逆行性,与QRS波群关系恒定
25.阵发性室上性心动过速( ) 正确答案:E
26.二度I型房室传导阻滞( ) 正确答案:B
27.男性,52岁。持续胸痛3小时,诊断为急性下壁心肌梗死。查体:BP70/50mmHg,心率40次/分。ECG示:P-P间期较R-R间期短,R-R间期整齐,最可能的心律失常是( )
A.心房颤动
B.窦性心动过速
C.三度房室传导阻滞
D.二度房室传导阻滞
E.室性早搏
正确答案:C
28.胺碘酮主要作用为( )
A.阻滞0相K+外流
B.阻滞1相K+外流
C.阻滞2相K+外流
D.阻滞3相K+外流
E.阻滞4相K+外流
正确答案:D