卵巢肿瘤依照其组织发生可分为三类:①上皮性肿瘤:浆液性肿瘤、粘液性肿瘤、子宫内膜样肿瘤、透明细胞肿瘤及移行细胞肿瘤;②生殖细胞肿瘤:畸胎瘤、无性细胞瘤、内胚窦瘤、及绒毛膜癌;③性索间质肿瘤:颗粒细胞—卵泡膜细胞瘤、支持细胞-间质细胞瘤。

卵巢上皮性肿瘤是最常见的卵巢肿瘤,占所有卵巢肿瘤的90%,大致上分为良性、交界性(Borderline malignancy)和恶性。绝大多数上皮肿瘤来源于卵巢的表面上皮,由胚胎时期的覆盖在生殖嵴表面的体腔上皮转化而来。依据上皮的类型可分为浆液性、粘液性和子宫内膜样。
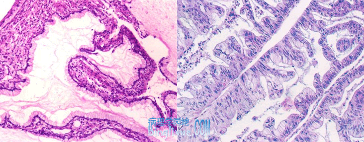
(一)浆液性肿瘤
浆液性囊腺瘤(serious cystadenoma)是卵巢最常见的肿瘤,其中浆液性囊腺癌占全部卵巢癌的40%。良性和交界性肿瘤多发于20-40岁的女性,而囊腺癌则年龄偏大。
肉眼观,典型的浆液性囊腺瘤由单个或多个纤维分隔的囊腔组成,囊内含有清亮液体,偶混有粘液。良性瘤囊内壁光滑,一般无囊壁的上皮性增厚和乳头向囊内突起。交界性囊腺瘤可见较多的乳头大量的实体和乳头在肿瘤中出现时应疑为癌。双侧发生多见。
![]() |

镜下,良性瘤囊腔由单层立方或矮柱状上皮衬覆,具有纤毛,与输卵管上皮相似,虽有乳头状结构形成,但一般乳头较宽,细胞形态较一致,无异型性。交界瘤上皮细胞层次增加,达二至三层,乳头增多,细胞异型,但无间质的破坏和浸润。浆液性囊腺癌除细胞层次增加超过三层外,最主要的特征是伴有癌细胞间质浸润。肿瘤细胞呈现癌细胞特点,细胞显著异型性,核分裂像增加,乳头分支多而复杂,呈树枝状分布,或呈未分化的特点。常可见砂粒体(psammoma bodies)。
(二)粘液性肿瘤
粘液性肿瘤(mucinous tumors)较浆液性肿瘤少见,占所有卵巢肿瘤的25%。其中85%是良性和交界性,其余为恶性。发病年龄与浆液性肿瘤相同。
肉眼观,肿瘤表面光滑,由多个大小不一的囊腔组成,腔内充满富于糖蛋白的粘稠液体,双侧发生比较少见。如肿瘤查见较多乳头和实性区域,或有出血,坏死及包膜浸润,则有可能为恶性。
镜下,良性粘液性囊腺瘤的囊腔被覆单层高柱状上皮,核在基底部,核的上部充满粘液,无纤毛,和子宫颈及小肠的上皮相似。交界性肿瘤含有较多的乳头结构,细胞层次增加,一般不超过三层,核轻至中度异型,但无间质和被膜的浸润。囊腺癌上皮细胞明显异型,形成复杂的腺体和乳头结构,可有出芽,搭桥及实性巢状区,如能确认有间质浸润,则可诊断为癌。如间质浸润不能确定,上皮细胞超过三层亦应诊为癌。
如卵巢粘液性肿瘤的囊壁破裂,上皮和粘液种植在腹膜上,在腹腔内形成胶冻样肿块,称为腹膜假粘液瘤( Pseudomyxoma peritonel)。
![]() |