
google_ad_client = "ca-pub-8250340434758527";
/* imageright336*280 */
google_ad_slot = "9967059469";
google_ad_width = 336;
google_ad_height = 280;
//-->
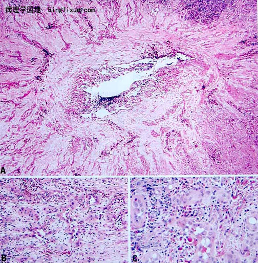
瘤细胞圆形、多角形、上皮样,胞质见大小不一的空泡,内含红血球(原始血管腔),呈小巢状或条索状分布于黏液基质中,有轻度异型性。
若是EHES 瘤细胞异型性更明显,核分裂象、出血、坏死易见,血管分化更原始,互相吻合成窦样血管网等。
过去称EHE 为中间性或交界性肿瘤,WHO(2002) 新版中将其归为恶性。
免疫表型:瘤细胞Vim、F8 、CD31、CD34 和leu-7 阳性。