病理学园地
您的位置:首页 > 图库 > 男性生殖系统疾病

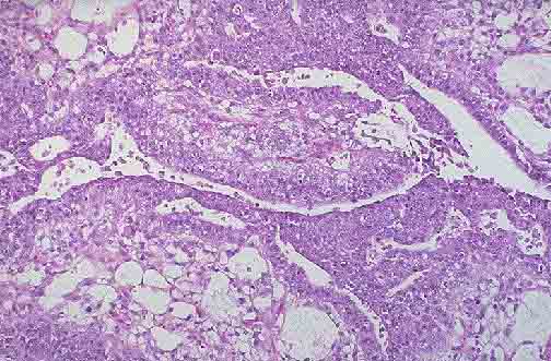
卵黄囊肿瘤:血管球或胚芽样结构


睾丸的内胚层窦肿瘤(卵黄囊肿瘤)由原始生殖细胞构成,这些细胞形成血管球或胚芽样结构。儿童多发,但总体来说是少见的。
An endodermal sinus tumor (yolk sac tumor) of the testis is shown composed of primitive germ cells that form glomeruloid or embryonal-like structures. These tumors are most frequent in children, but overall they are rare.

纠错留言 | 网站导航 | 站内搜索 | 关于我们 | 联系站长
Copyright©2006-2025 病理学园地*Pathology Information Web