病理学园地
您的位置:首页 > 图库 > 男性生殖系统疾病

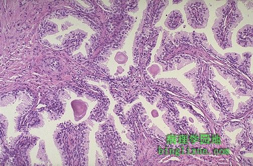
前列腺增生:腺体增生、腺腔见淀粉样小体


增生前列腺的腺体增生。分化较好的腺体间有间质分布。腺腔内可见粉红色层状的淀粉样小体。
At higher magnification, the enlarged prostate has glandular hyperplasia. The glands are well-differentiated and still have some intervening stroma. The small laminated pink concretions within the glandular lumens are known as corpora amylacea.

纠错留言 | 网站导航 | 站内搜索 | 关于我们 | 联系站长
Copyright©2006-2025 病理学园地*Pathology Information Web