病理学园地
您的位置:首页 > 图库 > 男性生殖系统疾病

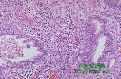
慢性前列腺炎:淋巴细胞浸润


慢性前列腺炎。腺体间的间质中可见大量小的深蓝色的淋巴细胞。可伴有细菌感染,也可同时伴有膀胱炎或尿道炎。然而慢性前列腺炎多为细菌性且无泌尿道感染史。血清中前列腺特异抗原可轻微升高。
This is chronic prostatitis. Numerous small dark blue lymphocytes are seen in the stroma between the glands. There may be a bacterial agent accompanying this inflammation, and cystitis or urethritis may also be present. However, more commonly, chronic prostatitis is abacterial and there is no history of urinary tract infection. The serum prostate specific antigen may be slightly elevated.

纠错留言 | 网站导航 | 站内搜索 | 关于我们 | 联系站长
Copyright©2006-2030 病理学园地*Pathology Information Web