病理学园地
您的位置:首页 > 图库 > 淋巴造血系统疾病

套细胞淋巴瘤

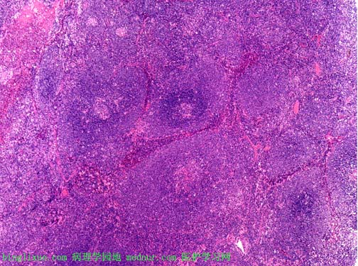
套细胞淋巴瘤:滤泡套细胞层增生明显
套细胞淋巴瘤
套细胞淋巴瘤:Cyclin D1阳性

套细胞淋巴瘤为Cyclin D1 和CD5阳性的小B-细胞淋巴瘤(相当于小裂细胞) ;

1、滤泡样结构散布整个淋巴结,不仅是皮质;

2、滤泡套细胞层增生明显,广泛融合;(注意:部分病例可以套细胞区增生不明显而难以早期诊断)

3、可见散在实片的组织细胞。

4、Cyclin D1阳性(有诊断价值的标记); CD5 阳性; CD43阳性;

5、滤泡间区CD20+(意味滤泡间侵袭)。

上图:滤泡套细胞层增生明显。

下图:Cyclin D1阳性。


纠错留言 | 网站导航 | 站内搜索 | 关于我们 | 联系站长
Copyright©2006-2025 病理学园地*Pathology Information Web