病理学园地
您的位置:首页 > 图库 > 综合

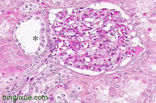
致密斑

致密斑

星号标记的是肾脏致密斑。致密斑是由位于入球动脉和出球动脉之间的肾小体血管极处的远端小管上皮细胞组成。致密斑细胞紧邻入球动脉处的近球细胞,致密斑细胞能感受远端小管内Na+浓度的变化。浓度降低时,促使入球动脉扩张同时近球细胞分泌肾素增加。肾素使血管肾张素Ⅰ生成增多,进而形成血管肾张素Ⅱ,不但使出球动脉收缩,还可以促使肾上腺皮质球状带分泌醛固酮,从而增加血容量和动脉血压。这种反馈有助于肾小球滤过率的调控。

The asterisk marks the macula densa in the kidney. The macula densa is a specialized region of epithelial cells lining a portion of a distal convoluted tubule that lies between the afferent and efferent arterioles at the vascular pole of a glomerulus. The macula densa cells are in close approximation to the juxtaglomerular cells (modified smooth muscle cells) in the media of the afferent arteriole. The macula densa cells monitor sodium concentration, and when that concentration falls, they signal the afferent arteriole to dilate and the juxtaglomerular cells to secrete renin. Renin increases formation of angiotensin I, which is converted to angiotensin II, which constricts the efferent arterioles. Angiotensin II also stimulates aldosterone secretion by the adrenal cortex, which increases blood volume and arterial pressure. This feedback loop helps to control the glomerular filtration rate.


纠错留言 | 网站导航 | 站内搜索 | 关于我们 | 联系站长
Copyright©2006-2025 病理学园地*Pathology Information Web