病理学园地
您的位置:首页 > 图库 > 中枢神经系统疾病

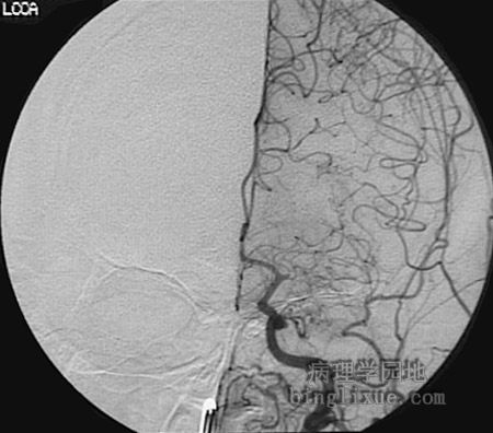
左颈总动脉主要分支栓塞(血管造影)

血管造影显示左颈总动脉的主要分支的栓子阻塞。

This angiogram demonstrates an embolic obstruction of a branch of the left common carotid artery just past the first main bifurcation.


纠错留言 | 网站导航 | 站内搜索 | 关于我们 | 联系站长
Copyright©2006-2025 病理学园地*Pathology Information Web